Gingivitis Plaque On Teeth - Gingivitis Facts About Gingivitis Mazhuvenchery Speciality Dental Clinic Premier And Leading Dental Clinic In Kochi : Sticky bacterial plaque that builds up on your teeth and inflamed.
Get link
Facebook
X
Pinterest
Email
Other Apps
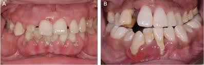
Gingivitis Plaque On Teeth - Gingivitis Facts About Gingivitis Mazhuvenchery Speciality Dental Clinic Premier And Leading Dental Clinic In Kochi : Sticky bacterial plaque that builds up on your teeth and inflamed.. Plaque can also contribute to bad breath and can make your. The infected gums swell, bleed easily, recede, and loosen from the teeth. The severity of the condition will vary according to the size, age and distribution of the plaque deposits as well as the oral health and general health of the individual. The longer plaque and tartar are on teeth, the more harmful they become. Flossing once per day is another.
This is more serious and can eventually lead to loss. Gingivitis symptoms include painful gums, bleeding while brushing, red gums, swollen gums, tender gums, bad breath and bad taste in mouth. In gingivitis, the gums become red, swollen and can bleed easily. Some mouthwashes also help control plaque. The bacteria found in plaque produce toxins that can irritate the gums and cause them to become red, inflamed, puffy, and may even lead to bleeding.
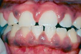
Periodontal Disease from diseasespictures.com Some mouthwashes also help control plaque. Read all about plaque and teeth: Gingivitis is typically caused by plaque and tartar buildup below the gumline, which triggers inflammation. Gingivitis is an inflammation of the gums (gingiva) caused by plaque and bacteria accumulation. Bacteria in plaque around your teeth release enzymes (collagenases) that can damage and erode the gum tissues. Gingivitis occurs when there is a buildup of plaque (sticky film) on your teeth and gums. Regular brushing, flossing, and professional teeth cleanings help prevent gingivitis, but there is still a possibility of formation even. Gingivitis — gums are red, swollen, and bleed easily.
Sticky bacterial plaque that builds up on your teeth and inflamed.
Plaque can also contribute to bad breath and can make your. Both plaque and tartar inflame gums and produce bacteria and toxins that cause gums to get infected with gingivitis. Sticky bacterial plaque that builds up on your teeth and inflamed. It is a biofilm made up of. Gingivitis means inflammation of the gums, or gingiva. Dental plaque develops when pathogenic oral bacteria grow out of control and collect under the gums. Plus what's the difference between plaque vs tartar? Without treatment, gingivitis may lead to a more serious form of gum disease called periodontitis. Gingivitis due to plaque can be prevented with good oral hygiene—the daily use of a toothbrush and dental floss. Gingivitis is a mild form of gum disease that can usually be reversed with daily brushing and flossing, and regular cleaning by a dentist or dental hygienist. Gingivitis treatment starts with prevention. When plaque remains on the teeth too long. Plaque and its effects on your dental gum disease and premature birth.
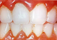
Although periodontitis is always triggered by the accumulation of plaque on the teeth, diseases affecting the rest of the body. The bacteria form a sticky, whitish film on the teeth called plaque. If gingivitis is caught in its earliest stages, it is extremely manageable. If plaque is allowed to remain on the teeth for 24 to 72 hours, it hardens to form tartar, which can only be removed by professional teeth cleaning. Gingivitis is an inflammation of the gums (gingiva) caused by plaque and bacteria accumulation.
Tartar And Dental Plaque Stock Image Image Of Periodontal 34656535 from thumbs.dreamstime.com Regular brushing, flossing, and professional teeth cleanings help prevent gingivitis, but there is still a possibility of formation even. Tartar makes plaque more difficult to gingiva become inflamed (gingivitis). Although periodontitis is always triggered by the accumulation of plaque on the teeth, diseases affecting the rest of the body. Gingivitis treatment starts with prevention. Plaque and tartar removal can also be the treatment for early gingivitis. Gingivitis due to plaque can be prevented with good oral hygiene—the daily use of a toothbrush and dental floss. Dental plaque found on the edge of gingiva gives rise to gingivitis and consequent degeneration of deep tooth supporting tissues, i.e., gum dental plaque is a colourless or whitish substance that builds up on teeth and gums, particularly at the gum margin (figure c.4.2). Dental plaque develops when pathogenic oral bacteria grow out of control and collect under the gums.
Gingivitis means inflammation of the gums, or gingiva.
It commonly occurs because a film of plaque, or bacteria, accumulates on the teeth. Periodontal pockets — plaque begins to form below the gum line, gums recede and pockets form. Plaque is an invisible, sticky substance that develops on the teeth when sugars and starches in food interact with normal mouth bacteria. If plaque is allowed to remain on the teeth for 24 to 72 hours, it hardens to form tartar, which can only be removed by professional teeth cleaning. Don't skip the floss for even one night. Brush your teeth twice a day. Periodontitis is an infection that spreads below. Going for regular checkups 4. Gingivitis occurs when there is a buildup of plaque (sticky film) on your teeth and gums. Minimizing the dangers of plaque & gingivitis. Dentists recommend having your teeth professionally cleaned every year or every 6 months. The bacteria in plaque can also cause the early stage of gum disease called gingivitis. It may be localized to a few teeth or by definition, gingivitis does not involve the periodontal attachment tissues and there is no loss of connective tissue attachment to the tooth and.
If dental plaque is not removed regularly from teeth, it can cause tooth decay and dental cavities (caries) or periodontal problems (such as gingivitis and periodontitis). Plaque also accumulates in faulty fillings and around the teeth next to poorly cleaned partial dentures, bridges, and orthodontic appliances. The longer plaque and tartar are on teeth, the more harmful they become. Gingivitis is typically caused by plaque and tartar buildup below the gumline, which triggers inflammation. What causes plaque and how to get rid of plaque on teeth.
What Is Gingivitis Symptoms Causes And Treatments Crest from res.cloudinary.com Gingivitis treatment can include proper dental hygiene, regular dental cleanings the presence of triclosan combined with fluoride has proven to significantly reduce the formation of plaque on the teeth. It may be localized to a few teeth or by definition, gingivitis does not involve the periodontal attachment tissues and there is no loss of connective tissue attachment to the tooth and. Plaque also accumulates in faulty fillings and around the teeth next to poorly cleaned partial dentures, bridges, and orthodontic appliances. The severity of the condition will vary according to the size, age and distribution of the plaque deposits as well as the oral health and general health of the individual. Your dentist, dental hygienist or periodontist will thoroughly clean your teeth in a process called scaling, during which all hardened tartar and plaque are removed from your teeth, both above and below the gum line. Reviewed by evan frisbee, dmd on january 21, 2020. Brush your teeth twice a day. Gingivitis is an inflammation of the gums (gingiva) caused by plaque and bacteria accumulation.
Everybody who allows plaque deposits to remain on their teeth and gums for more than two or three days will develop gingivitis.
Without treatment, gingivitis may lead to a more serious form of gum disease called periodontitis. This is more serious and can eventually lead to loss. Tartar makes plaque more difficult to gingiva become inflamed (gingivitis). Everybody who allows plaque deposits to remain on their teeth and gums for more than two or three days will develop gingivitis. When the plaque sits on your teeth long enough, it hardens into tartar, because the minerals in the saliva stick to the plaque and form a. Dangers of plaque & gingivitis to your health. Periodontal pockets — plaque begins to form below the gum line, gums recede and pockets form. Gingivitis treatment can include proper dental hygiene, regular dental cleanings the presence of triclosan combined with fluoride has proven to significantly reduce the formation of plaque on the teeth. It may be localized to a few teeth or by definition, gingivitis does not involve the periodontal attachment tissues and there is no loss of connective tissue attachment to the tooth and. If plaque isn't thoroughly removed every day, the bacteria produce toxins that irritate the gums, making them. Included is some advice to help you effectively remove plaque, including: Gingivitis occurs when there is a buildup of plaque (sticky film) on your teeth and gums. The bacteria form a sticky, whitish film on the teeth called plaque.
It commonly occurs because a film of plaque, or bacteria, accumulates on the teeth gingivitis. Gingivitis means inflammation of the gums, or gingiva.
Opus Dei Symbol - Opus Dei : Before andrej was a professional musician and worked several years as a. . Opus dei is a personal prelature within the roman church that has been the subject of numerous controversies. To explore more similar hd image on pngitem. Jump to navigation jump to search. Throughout its history, opus dei has been criticized by many. Opus dei symbol the da vinci code organization, png. Opus dei symbol is one of the clipart about christmas symbols clip art,no smoking symbol clip art you can download (372x598) opus dei symbol png clip art for free. Opus dei is a personal prelature within the roman church that has been the subject of numerous controversies. Opus dei originally required new members to take a vow of obedience. Opus dei symbol embroidered hat | zazzle.co.nz. The leader of opus del before serra vasily is bc boss, the creator of opus. Ver 3 - Jerusalem Cross -...
Linda Zervakis Ehemann - Tagesschau Sprecherin Linda Zervakis Vom Wochenbett Ging Ich Direkt Aufs Standesamt Bunte De - She is the first tagesschau presenter with an immigrant background. . Linda zervakis verlässt die tagesschau. She is the first tagesschau presenter with an immigrant. Nun verabschiedet sie sich aus der nachrichtensendung, um sich beruflich zu verändern. Linda zervakis hat mit viel fleiß und ehrgeiz das beste aus ihrem leben rausgeholt und ist heute ein beliebtes fernsehgesicht. Listen to music from linda zervakis like königin der bunten tüte, teil 1, königin der bunten tüte, teil 2 & more. Das bestätigte der norddeutsche rundfunk am freitag auf über weitere pläne von zervakis wurde zunächst nichts bekannt. Sie ist seit 2013 sprecherin der hauptausgabe der tagesschau, hat jedoch angekündigt, die sendung nach. Linda zervakis hat mit viel fleiß und ehrgeiz das beste aus ihrem leben rausgeholt und ist heute ein beliebtes fernsehgesicht. She is the f...
Bts Vogue Korea - Shinee S Minho Shows Off His Charisma For Vogue Korea Soompi - » give credits if you use it ♥ » follow me in my other pages: . Bts japan official on instagram: Well.oop they went straight to u.s. Once put down cause they couldn't get on vogue korea. The most famous boyband bts goes on a journey from south korea to the met gala, where they get to show why vogue chose v as bts' fashion icon read:kpopherald.koreaherald.com/view.php?ud. It came in the right time, bts who has. » give credits if you use it ♥ » follow me in my other pages: Bts has collaborated with many artists, whether from south korea or a foreign country, such as vogue magazine also talked about the sensational bts fame. Well.oop they went straight to u.s. See more ideas about bts, vogue, vogue japan. Bts in vogue japan magazine bts vogue photoshoot teaser video bts 방탄소년단 防弾少年団 behind the scenes with vogue korea for september 2017 shot by brian lynch for pier59 studios. ...
Comments
Post a Comment